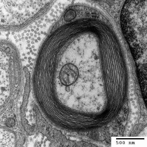
Sleep allows neural connection shrinking: crucial for learning
By Cayla Guerra | Apr. 5, 2018For as long as life has existed, everything alive has slept. Surely, the purpose of something as essential as sleep is fully understood in the scientific community.








